Transformarea oncogenelor împotriva mecanismelor naturale de supraviețuire ale cancerului
În context: În fiecare zi, miliarde de celule din corpul uman mor datorită unui proces natural cunoscut sub numele de apoptoză. Când apoptoza nu funcționează prin proiectare, celulele devin canceroase și pot provoca o boală care pune viața în pericol. Acum, cercetătorii de la Universitatea Stanford lucrează la o modalitate nouă de a trata, și posibil de a ucide definitiv, un anumit tip de cancer.
Studiul publicat recent de cercetători descrie o modalitate de reactivare a apoptozei în celulele mutante, ceea ce ar echivala cu forțarea cancerului să se autodistrugă printr-o moleculă de legare, concepută prin bioinginerie.
Gerald Crabtree, unul dintre autorii studiului și profesor de biologie a dezvoltării, a spus că a avut ideea în timp ce mergea prin Kings Mountain, California, în perioada pandemiei. Noul compus ar trebui să lege două proteine care există deja în celulele canceroase, reactivând apoptoza și făcând cancerul să se omoare.
„Vrem, în esență, să avem același tip de specificitate care poate elimina 60 de miliarde de celule fără spectatori”, a spus Crabtree, astfel încât nicio celulă să nu fie distrusă dacă nu este ținta adecvată a acestui nou mecanism de ucidere. Cele două proteine în cauză sunt cunoscute ca BCL6, o oncogenă care suprimă genele care promovează apoptoza în limfomul cu celule B și CDK9, o enzimă care catalizează în schimb activarea genelor.

Proteinele BCL6 mutante blochează un semnal care ar trebui să aducă în mod normal celulele canceroase să activeze apoptoza. Tratamentele tradiționale, nedistructive, au vizat oncogene pentru a încerca să oprească cancerul, în timp ce noul studiu propune un mecanism de exploatare a acestora. „Priviți ceva de care cancerul este dependent pentru supraviețuirea lui și răsturnați scenariul și faceți că acesta să fie exact lucrul care îl ucide”, a spus Crabtree.
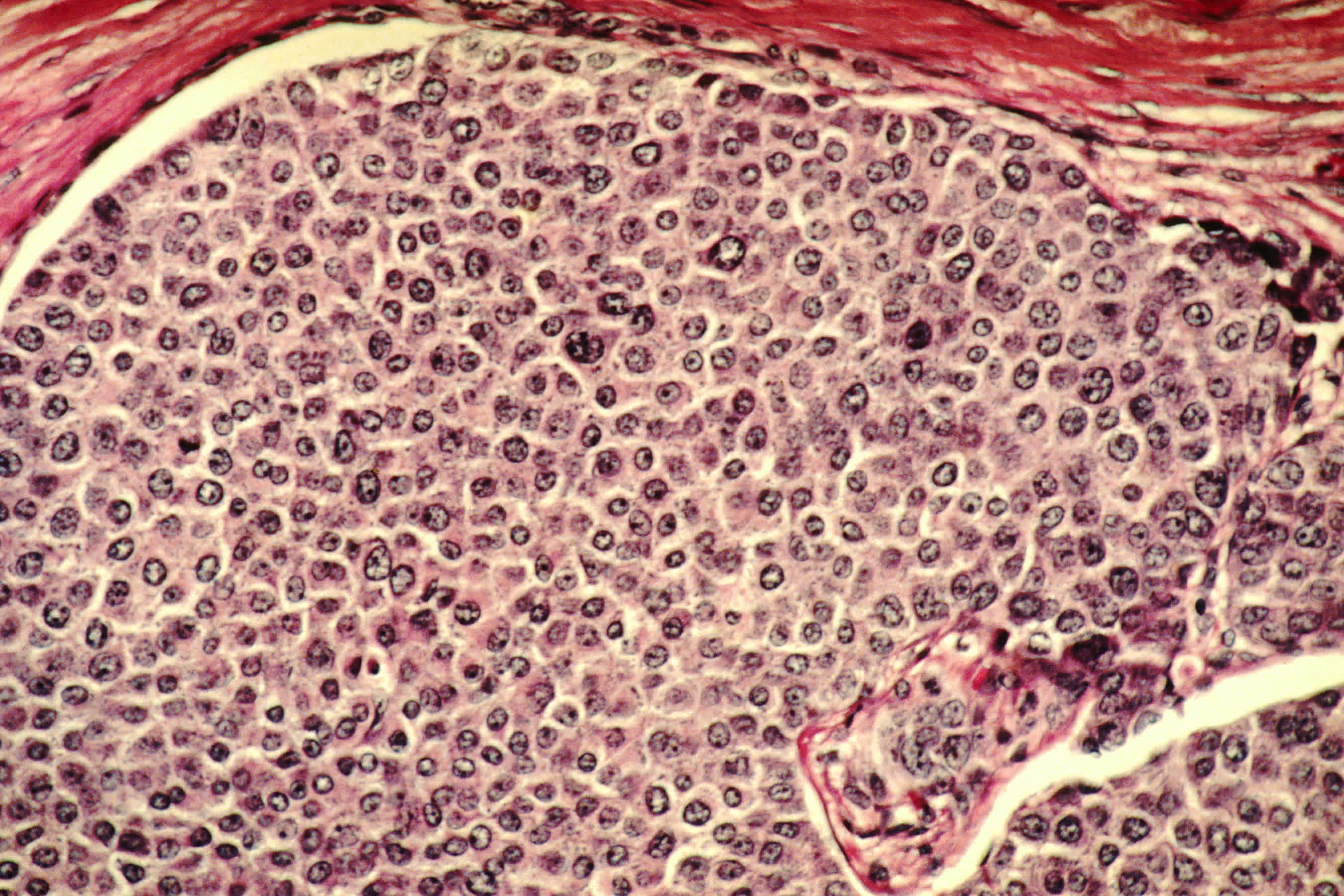
Cercetătorii au testat noua moleculă concepută pentru a lega BCL6 și CDK9 în celulele difuze de limfom cu celule B cu celule mari într-un mediu de laborator, unde compusul s-a dovedit a fi eficient în uciderea celulelor canceroase. Apoi au testat compusul pe șoareci sănătoși pentru a vedea dacă a avut vreun efect toxic asupra celulelor normale, ceea ce nu a avut. Cu toate acestea, molecula părea să țintească un anumit tip de celule imunitare (celule B) care conțineau și o versiune nemutată a proteinei BCL6.
Echipa testează acum molecula pe șoareci afectați de limfoame difuze cu celule B mari, pentru a vedea dacă metoda este eficientă în uciderea cancerului la animalele vii. Tehnica se bazează pe furnizarea naturală de BCL6 și CDK9 în celule, ceea ce înseamnă că va funcționa probabil doar pe limfoamele canceroase. După ce au testat noua moleculă cu 859 de tipuri diferite de celule canceroase în laborator, cercetătorii au confirmat că a fost capabilă să omoare doar celulele difuze de limfom cu celule B cu celule mari.
